Wir beantworten gerne all Ihre Fragen. Hinterlassen Sie Ihre Daten und wir werden uns so schnell wie möglich bei Ihnen melden.
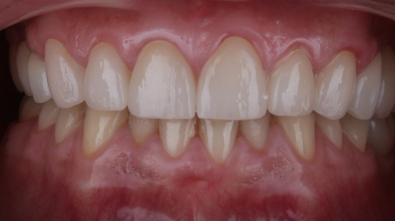
Die Patientin wandte sich an unser Team mit dem Wunsch nach einer vollständigen funktionellen und ästhetischen Wiederherstellung des Lächelns. Nach einer ersten Analyse wurde ein Mock up erstellt, das das zukünftige Aussehen deutlich zeigte; die Zufriedenheit der Patientin mit der Darstellung war der entscheidende Moment für die Fortsetzung der Therapie.
dr. med. dent.
Während der Therapie kamen auch Simple Smile Aligner zum Einsatz, mit denen wir eine bessere Zahnstellung und eine optimale Okklusion erreichten, was die Grundlage für die abschließende Arbeit weiter verbesserte.
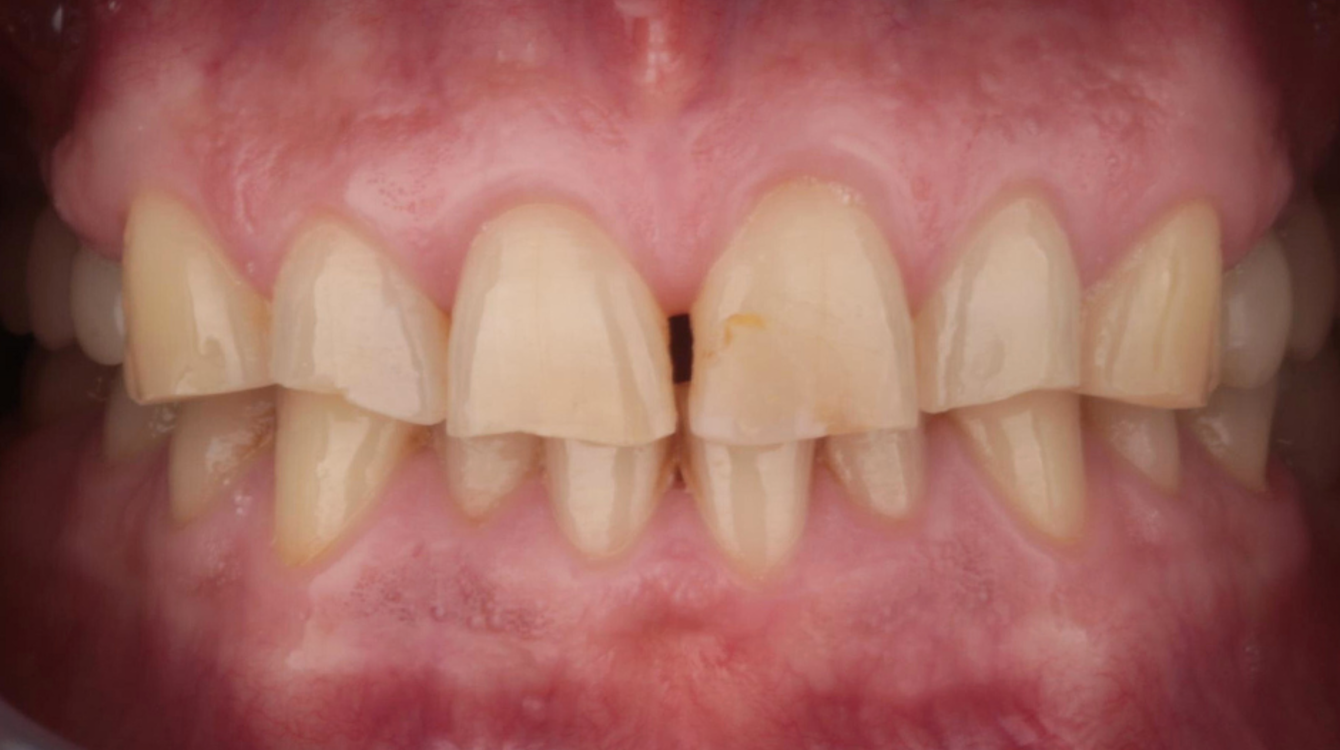
Bei Sandra wurde nach Abschluss der Prothetik im Oberkiefer die Therapie mit Kieferorthopädie und einer Aufhellung des Unterkiefers fortgesetzt, wodurch ein noch harmonischeres und natürlicheres Lächeln erzielt wurde.
Die gesamte Therapie wurde mit einer prothetischen Rehabilitation abgeschlossen, die ein harmonisches, natürliches und dauerhaftes Lächeln ermöglichte. Dank dieses umfassenden Ansatzes erhielt die Patientin nicht nur ein ästhetisch ansprechendes Ergebnis, sondern auch stabile Funktion und Leichtigkeit im Alltag.





