Wir beantworten gerne all Ihre Fragen. Hinterlassen Sie Ihre Daten und wir werden uns so schnell wie möglich bei Ihnen melden.
Die Behandlung wurde unter Anwendung computergestützter Planung und der Herstellung eines festsitzenden Zahnersatzes mit CAD/CAM-Technologie durchgeführt. Dadurch wurde gewährleistet, dass die während der Planungsphase festgelegte Form des Zahnersatzes exakt mit dem endgültigen Ergebnis übereinstimmt.
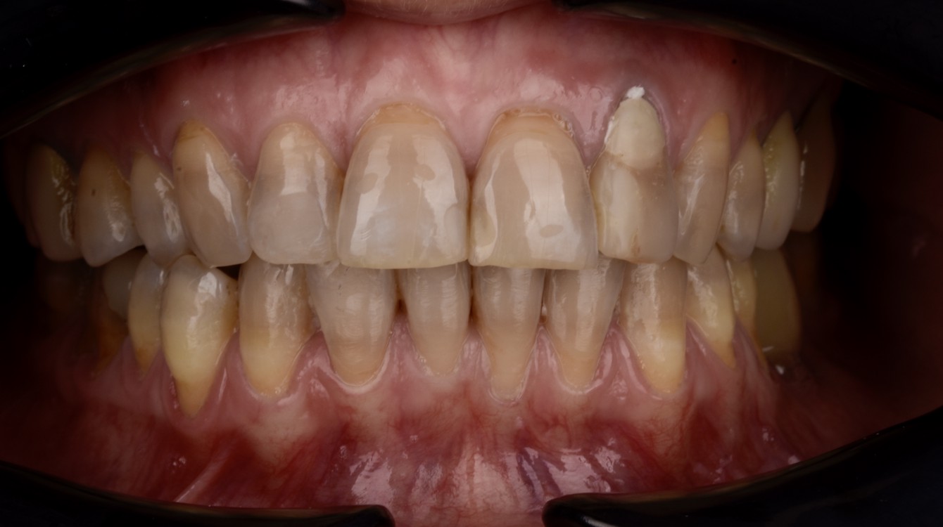
Nach einer umfassenden Untersuchung und Beratung empfahlen wir die Anfertigung von Einzelkronen aus Zirkonoxid sowie die chirurgische Abdeckung der Rezessionen im Unterkiefer. Um den Behandlungsplan für die Patientin möglichst anschaulich darzustellen, wurde ihr neues Lächeln mithilfe des Digital Smile Design (DSD) präzise entworfen.
Romina war aktiv an der Gestaltung ihres idealen Lächelns beteiligt und erhielt die Möglichkeit, das geplante Ergebnis vorab zu betrachten. Die Patientin zeigte sich äußerst zufrieden mit der Präsentation, woraufhin wir mit der Behandlung begannen. Die gesamte Therapie erstreckte sich über einen Zeitraum von drei Monaten.




