Wir beantworten gerne all Ihre Fragen. Hinterlassen Sie Ihre Daten und wir werden uns so schnell wie möglich bei Ihnen melden.
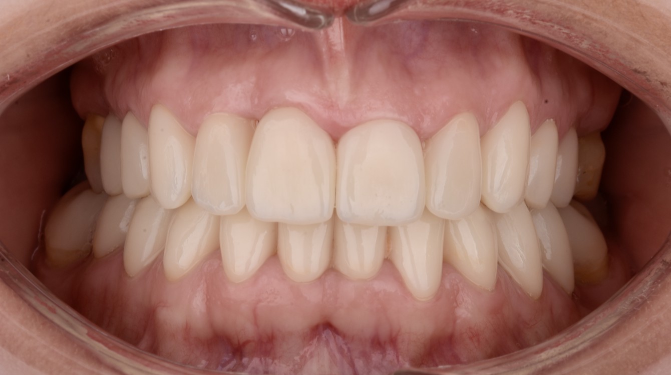
Die Behandlung wurde durch computergestützte Planung und Herstellung der festsitzenden Prothese mit CAD/CAM-Technologie durchgeführt. Dadurch konnte sichergestellt werden, dass die während der Planungsphase vereinbarte Form exakt mit der endgültigen Arbeit übereinstimmt.
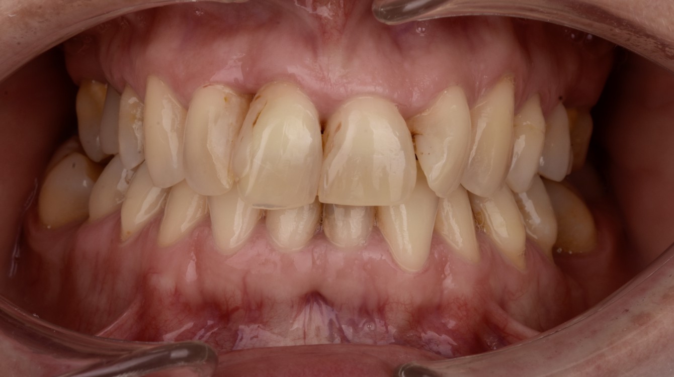
Nach einer umfassenden Beratung empfahlen wir ihr die Anfertigung von Einzelkronen aus Zirkoniumoxid. Um ihr den Behandlungsplan zu verdeutlichen, wurde ihr neues Lächeln mit Hilfe des Digital Smile Design (DSD) visualisiert.
Gordana nahm aktiv an der Gestaltung ihres idealen Lächelns teil und zeigte sich begeistert vom vorgeschlagenen Ergebnis. Nach ihrer Zustimmung begann die prothetische Therapie. Innerhalb von nur vier Sitzungen, die in einer Woche durchgeführt wurden, erhielt Gordana ein wunderschönes neues Lächeln.




