Rado ćemo odgovoriti na sve što vas zanima. Ostavite podatke i javit ćemo vam se povratno u najkraćem mogućem roku.
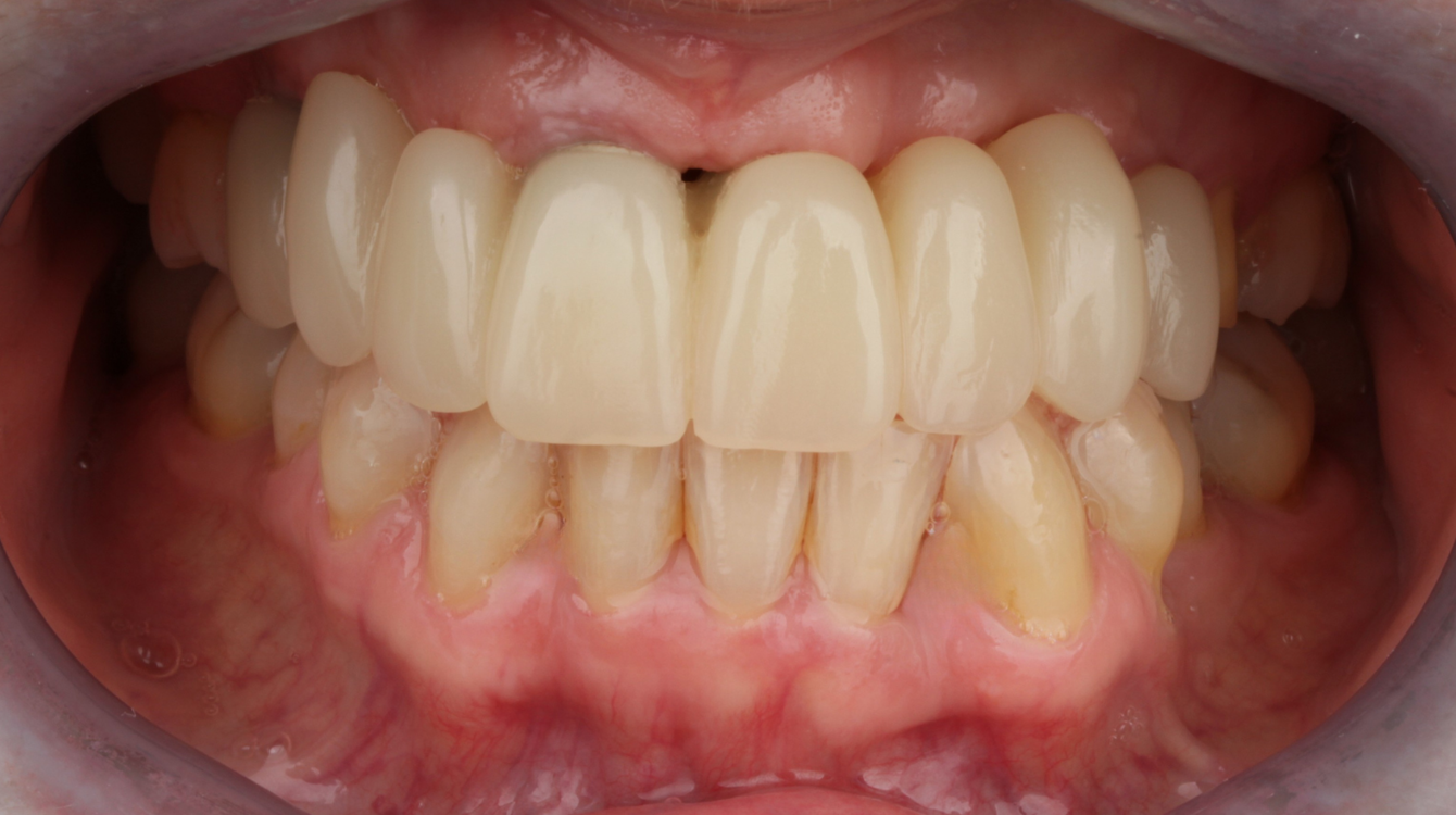
Pacijentica se obratila našem timu s željom za potpunom funkcionalnom i estetskom rehabilitacijom osmijeha. Nakon detaljne početne analize izrađen je mock up koji je precizno prikazao budući izgled zubi. Zadovoljstvo pacijentice postignutim prikazom bilo je ključni korak za nastavak protetske terapije i ostvarenje savršenog osmijeha.
univ. mag. med. dent., spec. in implantologia
dr. med. dent.
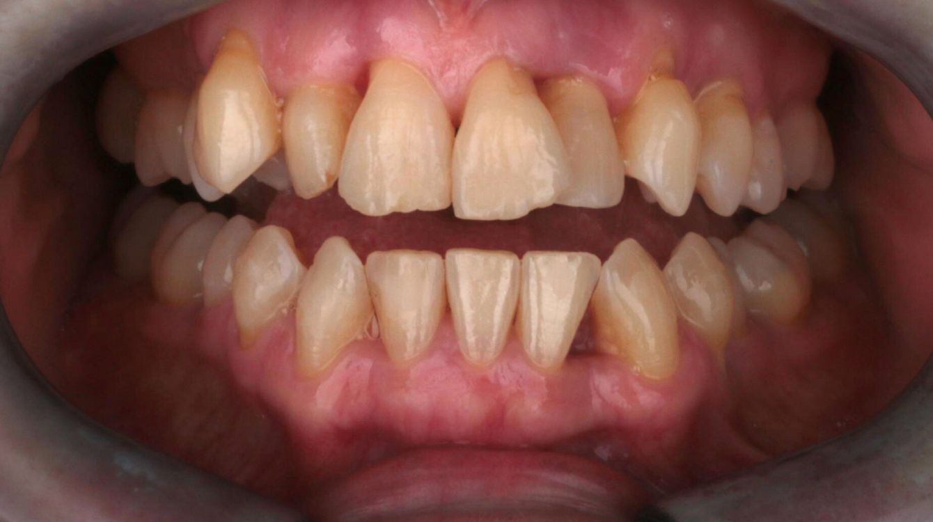
Pacijentica Simona obratila nam se nezadovoljna estetikom svog osmijeha i zabrinuta zbog pomičnosti zubi. Nakon detaljne dijagnostike odlučili smo da će interdisciplinarni pristup donijeti najbolji rezultat.
Terapija je započela parodontološkom obradom kojom su uklonjeni upalni procesi oko zuba. Slijedila je ortodontska terapija prozirnim udlagama (alignerima) koja je ispravila položaj zubi. Zubi koji su morali biti izvađeni nadoknađeni su zubnim implantatima u gornjoj čeljusti, a konačna estetska rehabilitacija izvedena je cirkonij-oksidnom keramikom.






