Rado ćemo odgovoriti na sve što vas zanima. Ostavite podatke i javit ćemo vam se povratno u najkraćem mogućem roku.
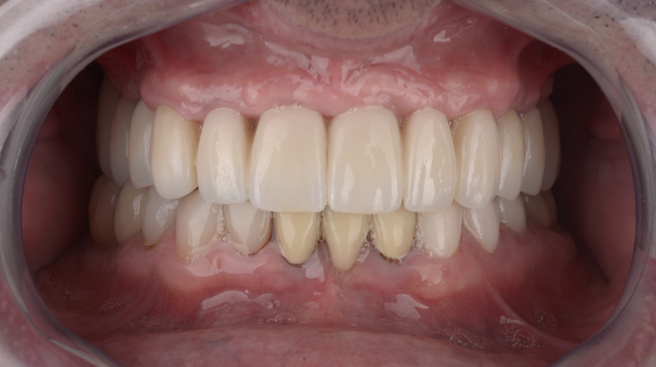
Do konačnog protetskog rješenja došli smo digitalnim dizajniranjem osmjeha i kompjuterski vođenom ugradnjom implantata.
Kako bi konačan rezultat terapije Mirco vidio na samom početku, napravljeno je digitalno dizajniranje osmijeha uz pomoć Digital Smile Design-a. Implantati su planirani i ugrađeni kompjuterski vođenim postupkom čime je postignuta maksimalna preciznost.
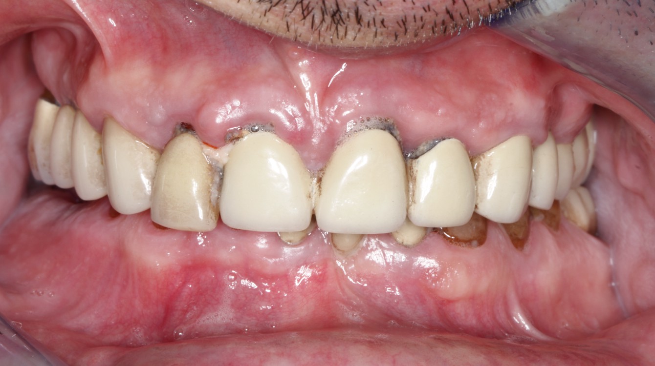
Mirco je unutar nekoliko sati nakon zahvata dobio privremene zube s kojima je mogao nastaviti svoje uobičajene aktivnosti. Trajni protetski rad je napravljen u cirkonij keramici te je tako Mirco dobio novi osmijeh i vratio svoju žvačnu funkciju.




