Rado ćemo odgovoriti na sve što vas zanima. Ostavite podatke i javit ćemo vam se povratno u najkraćem mogućem roku.
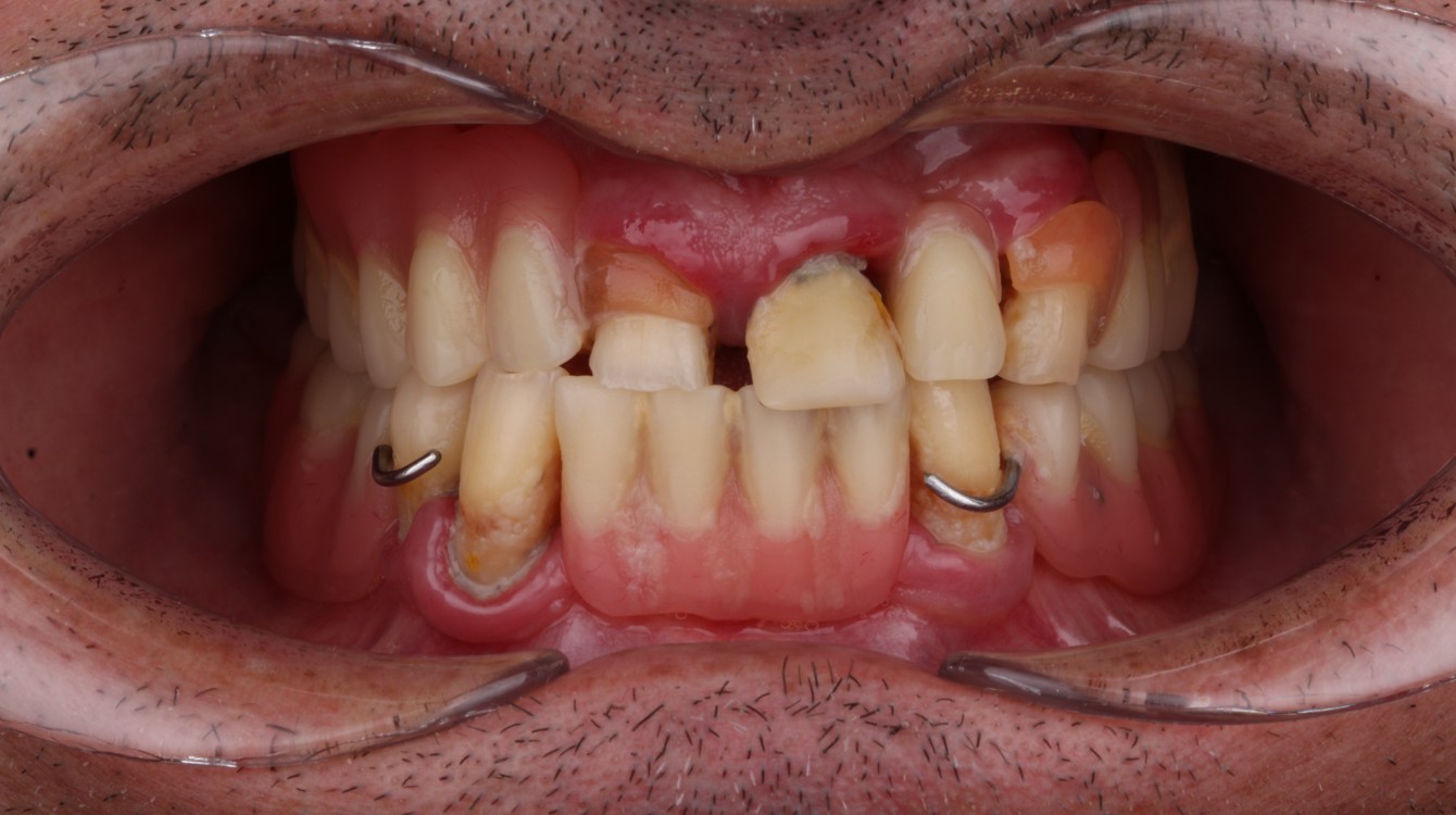
Marcello nam je došao nakon dugog niza godina provedenih s mobilnom protezom. Iako se trudio prilagoditi, svakodnevna nelagoda, nesigurnost u žvakanju i estetski nedostatak sve su više utjecali na njegovu kvalitetu života. Njegova želja bila je jasna: osmijeh koji neće morati skrivati i funkcija koja će mu omogućiti slobodno i ugodno hranjenje bez boli.




