Rado ćemo odgovoriti na sve što vas zanima. Ostavite podatke i javit ćemo vam se povratno u najkraćem mogućem roku.
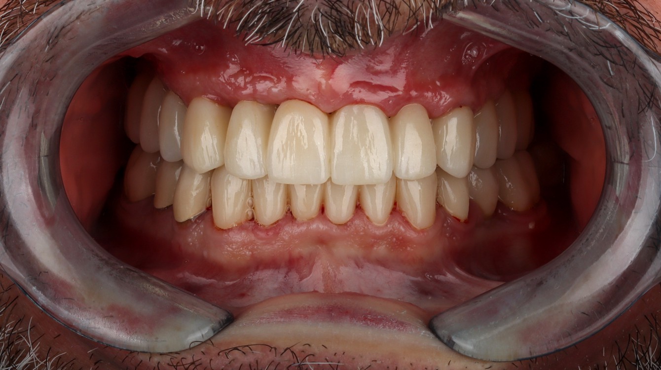
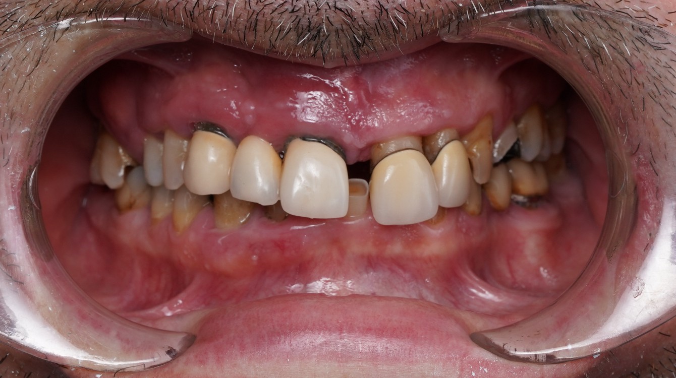
Put do savršenog osmijeha započeo je preciznim digitalnim planiranjem terapije i simulacijom konačnog rezultata pomoću DSD (Digital Smile Design) koncepta. Zahvaljujući modernim tehnologijama i stručnom timu, Massimiliano je napokon dobio osmijeh kakav je oduvijek želio.




