Saremo felici di rispondere a qualsiasi cosa che ti interessa. Lascia i tuoi dati e ti ricontatteremo il prima possibile.
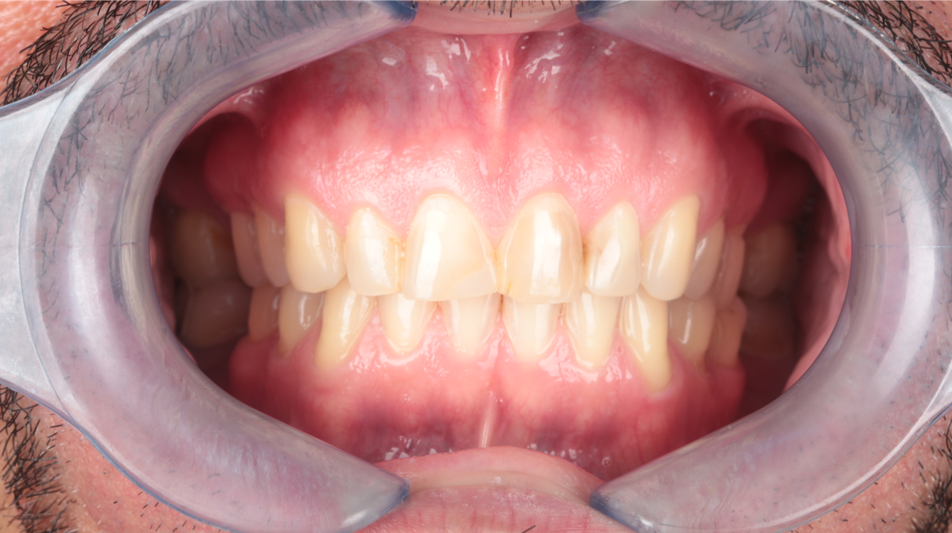
Il caso è stato gestito secondo i principi della moderna terapia protesica, con l'utilizzo di una pianificazione computerizzata che ci ha permesso di definire con precisione tutte le fasi del trattamento – dalla diagnosi iniziale al risultato estetico finale. Grazie all’approccio digitale, abbiamo potuto stabilire in anticipo la forma, le dimensioni e la posizione ideali delle corone, completamente adattate alle esigenze estetiche e funzionali del paziente.
Dopo un’attenta visita e analisi della situazione clinica, abbiamo consigliato l’inserimento di impianti dentali nelle zone posteriori della mascella, al fine di ristabilire la stabilità occlusale.
Successivamente all’inserimento implantare, abbiamo eseguito una riabilitazione protesica completa dell’arcata superiore. Sono state realizzate corone altamente estetiche in ceramica IPS Empress, un materiale rinomato per la sua traslucenza, resistenza e aspetto naturale.
L’approccio Digital Smile Design ci ha permesso di prevedere in anticipo il risultato finale e di mantenere massima precisione, prevedibilità e un approccio personalizzato in ogni fase del trattamento. Grazie alla combinazione di diagnostica digitale, implantologia e protesi estetica, al paziente è stato restituito un sorriso funzionale, duraturo e dall’aspetto completamente naturale.




