Saremo felici di rispondere a qualsiasi cosa che ti interessa. Lascia i tuoi dati e ti ricontatteremo il prima possibile.
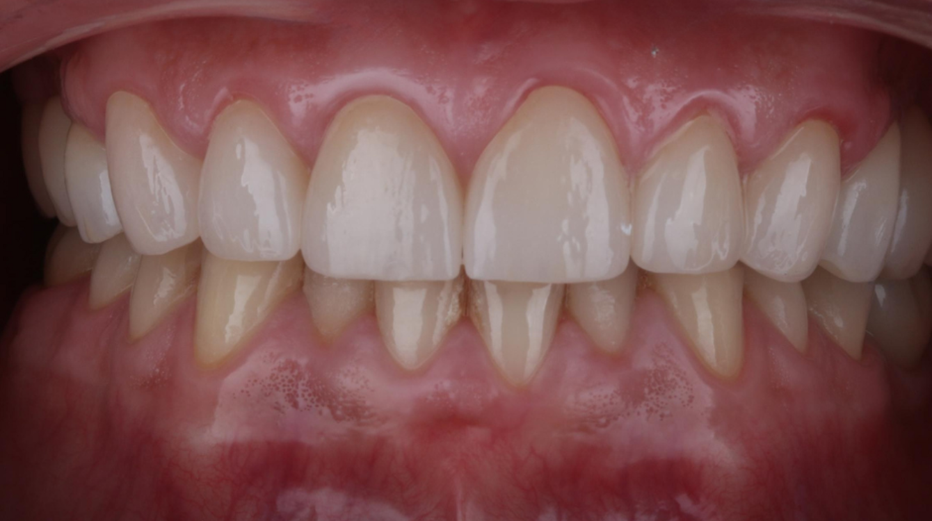
La paziente si è rivolta al nostro team con il desiderio di un completo restauro funzionale ed estetico del sorriso. Dopo un’analisi iniziale è stato realizzato un mock up che ha mostrato chiaramente l’aspetto futuro; la soddisfazione della paziente per la simulazione è stata il momento chiave per proseguire con la terapia.
Durante la terapia sono stati utilizzati anche gli aligner Simple Smile (allineatori ortodontici invisibili), con i quali abbiamo ottenuto un miglior allineamento dei denti e un’occlusione ottimale, preparando ulteriormente il terreno per il lavoro finale.
Nel caso di Sandra, dopo il completamento della protesi dell’arcata superiore, la terapia è proseguita con ortodonzia e sbiancamento dell’arcata inferiore, ottenendo un sorriso ancora più armonioso e naturale.
L’intera terapia si è conclusa con una riabilitazione protesica che ha garantito un sorriso armonico, naturale e duraturo. Grazie a questo approccio integrale, la paziente ha ottenuto non solo un risultato esteticamente piacevole, ma anche una funzione stabile e maneggiabilità nella vita quotidiana.




